At our Rockledge dental office, we believe that every patient deserves a smile they feel proud to share with the world. For Riley, a young man who had been struggling with the appearance and health of his front teeth, the path to a renewed smile began with a comprehensive evaluation of his restorative needs.

Overcoming The Challenges Of Old Restorations

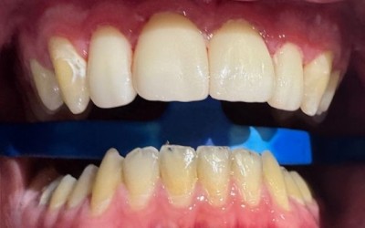
Riley came to our office with concerns about his front teeth, which had begun to chip and discolor over time. He had received dental fillings years ago, but they were no longer providing the aesthetic or functional support he needed to feel comfortable smiling.

Upon examination, Dr. Hilary Hulland-Prill found that the old fillings had developed new cavities beneath them. This underlying decay was causing noticeable holes and dark discoloration, making Riley feel hesitant to show his teeth in social situations. As a young man with a bright future ahead of him, he was more than ready to address these concerns and find a permanent restorative solution that would allow him to smile with ease again.

Precision Planning With Advanced Dental Technology

To ensure the most accurate and comfortable experience for Riley, we utilized some of the latest advancements in digital dentistry. Our team is dedicated to providing high-quality care, and having the right tools allows us to plan complex cases with incredible precision.

We used our brand new MEDIT i900 to take detailed digital models of Riley’s teeth. This technology eliminates the need for messy, traditional impressions and provides a highly accurate 3D view of the mouth. By using these digital models, Dr. Prill was able to expertly plan every aspect of Riley’s smile makeover, ensuring that his new restorations would fit perfectly and look completely natural.

A Life-Changing Transformation And Improved Confidence

The results of Riley’s treatment have been truly transformative, impacting not just his oral health but his overall outlook. By addressing the decay and replacing the old restorations, we were able to create a seamless, healthy appearance that highlights his natural features.

Since completing his smile makeover, Riley has noticed a significant boost in his self-esteem. Our team is thrilled to see the change in his personality now that he is no longer worried about hiding his teeth. We believe his new smile is just beautiful, and he truly deserves the confidence that comes with a healthy, functional mouth.

Start Your Own Smile Transformation In Rockledge

If you have old dental work that is starting to fail or you are simply ready to enhance the appearance of your teeth, we are here to support your goals. We provide a wide range of cosmetic dentistry and restorative dentistry services designed to help you look and feel your best.

Schedule your appointment by clicking the button below, or call us at (321) 633-4020 to speak with our friendly team about your options. We look forward to helping you achieve your own signature smile.