Skip to content
(321) 633-4020
573 Barnes Blvd Ste 101, Rockledge, Florida 32955
FacebookInstagramGoogle My Business
Signature Smile Family Dentistry Logo
  • Home
  • About Us
    • Hilary Prill DMD
    • Meet The Team
    • Testimonials
    • Community Events
  • Services
    • General & Preventative Dentistry
    • Cosmetic Dentistry
    • Restorative Dentistry
  • For Patients
    • Patient Education
    • Patient Profiles
    • Smile Gallery
  • Contact
    • For Doctors
    • Book Appointment
  • CALL TODAY!
    (321) 633-4020
    BOOK APPOINTMENT
Signature Smile Family Dentistry Logo

Smile Gallery

Composite Bonding
Crowns
Porcelain Veneers

Porcelain Crowns

Composite Bonding

Close-up of a person's teeth showing crowding and wear, with a dental device holding the mouth open.

Composite Bonding

Close-up of a person's smile showing straight, evenly aligned teeth with slight discoloration.

Porcelain Crowns

Close-up of a person's teeth showing mild discoloration and slight crowding, with a dental device holding the mouth open.

Zirconia Crowns

Close-up of a person's teeth showing yellowing, crowding, and alignment issues, with noticeable gaps between the front teeth.

Zirconia Crowns

Close-up of a person's teeth showing slight discoloration but overall even alignment and structure.

Porcelain Crowns

Close-up of a person's teeth showing moderate alignment issues and some discoloration.

Porcelain Veneers

Close-up of a person's straight, well-aligned teeth with a slight smile.

Composite Bonding

Close-up of a person's teeth showing mild misalignment and discoloration, with a dental device holding the mouth open.

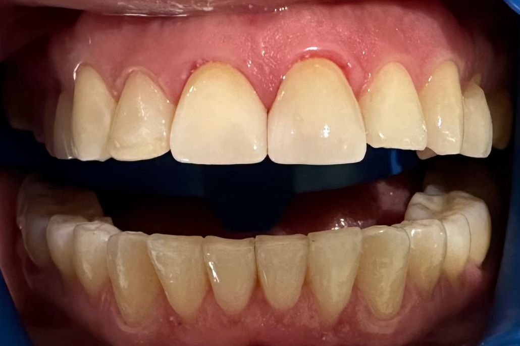
Crowns

Close-up of a person's teeth showing a comparison between bright, newly applied dental veneers on the top row and worn, discolored natural teeth on the bottom row.

Signature Smile Family Dentistry Logo

Book Appointment

OFFICE INFO

(321) 633-4020 573 Barnes Blvd Ste 101 Rockledge, FL 32955

BUSINESS HOURS

Monday – Thursday8:00AM – 5:00PM
FridayAppointment Only
Saturday & SundayCLOSED
Copyright © 2026 Signature Smile Family Dentistry | Website by Pro Impressions Marketing | Privacy Policy | Sitemap
FacebookInstagramGoogle My Business
Page load link

Book
BOOK APPOINTMENT

Menu

Signature Smile Family Dentistry Logo

  • Home
  • About Us
    • Hilary Prill DMD
    • Meet The Team
    • Testimonials
    • Community Events
  • Services
    • General & Preventative Dentistry
    • Cosmetic Dentistry
    • Restorative Dentistry
  • For Patients
    • Patient Education
    • Patient Profiles
    • Smile Gallery
  • Contact
    • For Doctors
    • Book Appointment
  • CALL TODAY!
    (321) 633-4020
    BOOK APPOINTMENT
Go to Top